• Tiếng Việt
  • English
  • thứ tư, 08/04/2026, 07:25 (GMT+7)

Giải thoát đau đớn cho người ung thư tụy

05:45 17/11/2020 - Bệnh ung thư
HÀ NỘI - Bệnh nhân nam, 65 tuổi, ung thư tụy di căn phúc mạc, đau đớn, phải di chuyển bằng xe lăn.

Bệnh nhân chia sẻ: "Tôi chỉ mong muốn thoát khỏi cơn đau để không phải chịu sự vật vã trong giai đoạn cuối".

Bác sĩ Trịnh Tú Tâm, Trưởng đơn vị Điện quang Can thiệp và Điều trị đau, Bệnh viện Hữu Nghị, ngày 13/11 thực hiện kỹ thuật diệt hạch đám rối thân tạng bằng cồn tuyệt đối để giảm đau cho bệnh nhân.

Đám rối thân tạng, còn gọi đám rối dương (Celiac Plexus), là một đám rối thần kinh lớn và quan trọng trong ổ bụng. Đây là trung tâm chuyển tiếp đau của các tạng tụy, dạ dày thực quản, gan, tuyến thượng thận... Cồn tuyệt đối là cồn tinh khiết, 100% alcohol.

Kỹ thuật diệt hạch bằng cồn tuyệt đối, bệnh nhân không cần gây mê, không mất máu. Dưới hướng dẫn của máy cắt lớp vi tính, bác sĩ đưa chiếc kim nhỏ vào tới vị trí hạch đám rối thân tạng, sau đó tiêm cồn tuyệt đối để diệt hạch. Sau can thiệp, bệnh nhân hết đau, ngủ được, ăn uống trở lại.

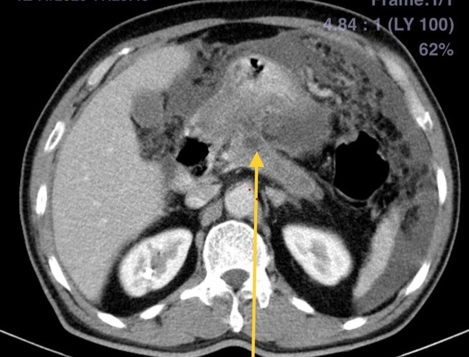
Kim tiêm tiến vào đám rối thân tạng dưới hướng dẫn của hình ảnh cắt lớp vi tính. Ảnh:Bệnh viện cung cấp
Kim tiêm tiến vào đám rối thân tạng dưới hướng dẫn của hình ảnh cắt lớp vi tính. Ảnh:Bệnh viện cung cấp

Theo bác sĩ Tâm, diệt đám rối thần kinh thân tạng là phương pháp giảm đau nhân đạo cho bệnh nhân ung thư giai đoạn cuối khi mọi liệu pháp điều trị không còn hiệu quả, hoặc các phương pháp khác gây ảnh hưởng chức năng gan, bệnh nhân có nhiều tác dụng phụ của thuốc giảm đau. Đây là phương pháp can thiệp tối thiểu, hiệu quả cao.

Thực hiện kỹ thuật cần có hướng dẫn của các phương tiện chẩn đoán hình ảnh như siêu âm, cắt lớp vi tính, màn tăng sáng. Đường kim chọc vào đám rối thân tạng phải chính xác tuyệt đối, tránh làm tổn thương các tạng trong ổ bụng hoặc mạch máu khi can thiệp.

Diệt đám rối thần kinh thân tạng giúp người ung thư gan, tụy, dạ dày, thận, đại tràng, 1/3 dưới thực quản hoặc người bệnh đau do viêm tụy mạn tính... để giảm đau, trạng thái tinh thần khỏe khoắn. Kỹ thuật này chỉ thực hiện một lần để diệt đám rối thân tạng, trường hợp đau tái phát mà không kiểm soát được bằng thuốc thì có thể nhắc lại.

Đau do ung thư hành hạ khiến người bệnh mất ngủ triền miên, tâm trạng lo âu, buồn bực, chán nản, suy giảm chất lượng cuộc sống, sinh hoạt, cơ thể suy kiệt và nguy cơ tử vong sớm. Người bệnh thường phải dùng morphine - thuốc giảm đau gây nghiện, về lâu dài phải tăng liều lượng, hiệu lực giảm đau của thuốc rút ngắn dần, người bệnh vẫn phải chịu đựng đau đớn tái phát.

Chi phí cho kỹ thuật diệt đám rối thân tạng bằng cồn tuyệt đối khoảng 1-2 triệu đồng một lần. Hiện kỹ thuật này chưa được bảo hiểm y tế thanh toán, bệnh nhân tự chi trả.

Thúy Quỳnh

Đọc tiếp cùng chuyên mục

Tự điều trị ung thư máu bằng đắp thuốc "giác hơi", nam thanh niên nguy kịch

Tự điều trị ung thư máu bằng đắp thuốc "giác hơi", nam thanh niên nguy kịch

Bệnh ung thư - 01/10/2024

  BSCK. I Nguyễn Văn Quân, Trung tâm Ung bướu và Y học hạt nhân (Bệnh viện Đa khoa tỉnh Lào Cai) cho biết vừa tiếp nhận bệnh nhân T.M.T (20 tuổi, ở...

Ung thư cổ tử cung có thể tầm soát sớm?

Ung thư cổ tử cung có thể tầm soát sớm?

Bệnh ung thư - 30/09/2024

  Hỏi: Tôi nghe thông tin tỷ lệ ung thư cổ tử cung hiện rất cao, vậy có thể tầm soát sớm ung thư cổ tử cung không, thưa bác sĩ? Nguyễn Hoài (Hà...

Phát hiện sớm tổn thương tiền ung thư nhờ thực hiện đều đặn việc này

Phát hiện sớm tổn thương tiền ung thư nhờ thực hiện đều đặn việc này

Bệnh ung thư - 09/08/2024

  Chia sẻ với bác sĩ, ông L.V.M (54 tuổi, Hà Nội) cho biết, trong gia đình có anh trai ruột, ông ngoại và dì ruột cùng bị K đại tràng. Còn bản thân...

Tiến bộ về kỹ thuật di truyền tạo bước tiến lớn trong điều trị ung thư

Tiến bộ về kỹ thuật di truyền tạo bước tiến lớn trong điều trị ung thư

Bệnh ung thư - 06/08/2024

Phó Giáo sư, Tiến sĩ Trần Đức Phấn, Chủ tịch hội Di truyền Y học Việt Nam chia sẻ về tiến bộ kỹ thuật di truyền.   Đại hội lần thứ 2 của Hội...

Lịch tiêm chủng Bộ Y tế Việt Nam