• Tiếng Việt
  • English
  • thứ ba, 10/03/2026, 03:45 (GMT+7)

U nang trứng 7 lít trong bụng thiếu nữ 16 tuổi

06:42 27/01/2021 - Bệnh ung thư
QUẢNG NINH - Bệnh nhân 16 tuổi, hai tháng nay bụng to lên bất thường như người có thai, đau nhiều, thể trạng gầy yếu.

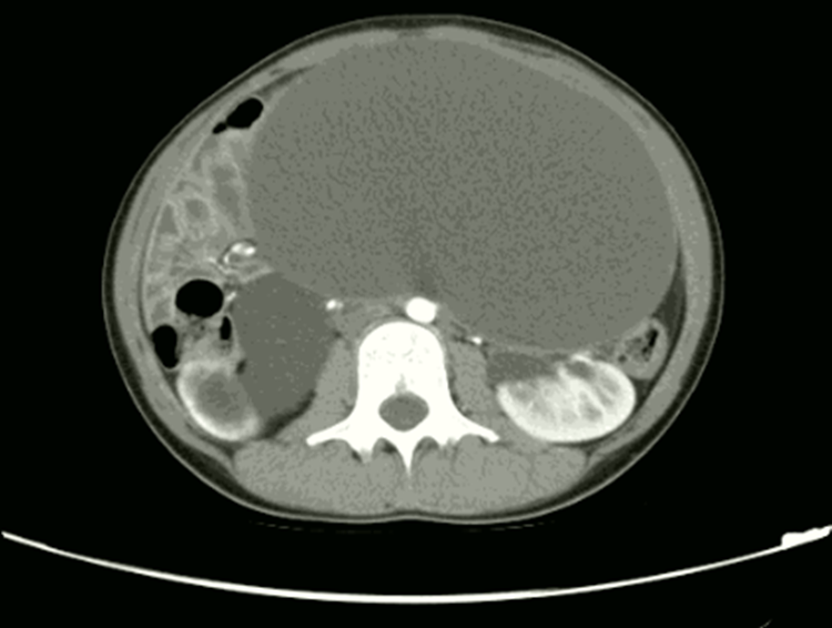
Các bác sĩ Bệnh viện Đa khoa Quảng Ninh ngày 26/1, cho biết kết quả siêu âm, chụp cắt lớp vi tính phát hiện khối u buồng trứng dạng nang chiếm toàn bộ ổ bụng dưới bệnh nhân. Khối u kích thước lớn, dài 30 cm, to tương đương với bụng bầu khoảng 6 tháng, chèn ép các tạng trong ổ bụng, gây giãn đài bể thận phải.

Kíp mổ nội soi đã hút từ trong khối u ra gần 7 lít dịch nhầy, sau đó bóc tách hoàn toàn u. Hậu phẫu, sức khỏe bệnh nhân tiến triển tích cực, bảo tồn chức năng sinh sản.

Khối u dạng nang kích thước lớn chiếm toàn bộ ổ bụng dưới của bệnh nhân. Ảnh: Bệnh viện cung cấp
Khối u dạng nang kích thước lớn chiếm toàn bộ ổ bụng dưới của bệnh nhân. Ảnh: Bệnh viện cung cấp

U nang buồng trứng là bệnh thường gặp ở phụ nữ, tỷ lệ ác tính tăng theo tuổi. U nang buồng trứng ở tuổi dậy thì chỉ xuất hiện ở một bên buồng trứng, một vài trường hợp u cả hai bên.

Nguyên nhân u nang buồng trứng tuổi dậy thì là do sự thay đổi nội tiết, một trong số đó là nang trứng phát triển không đầy đủ. Trong quá trình phát triển, nang trứng có thể không hoàn thiện, khó hấp thụ chất dinh dưỡng trở nên khuyết tật, dẫn đến sự phát triển quá mức của thể vàng - một đơn vị chức năng riêng của buồng trứng, cơ hội để u nang buồng trứng phát triển.

Bác sĩ Vũ Xuân Kiên, Trưởng khoa Ung bướu, cho biết trong giai đoạn đầu, u nang buồng trứng tuổi dậy thì diễn biến âm thầm, không có triệu chứng, biểu hiện có thể chỉ thường xuyên đau bụng lâm râm dưới vùng rốn, dễ bị bỏ qua. Khi khối u nang phát triển to hơn, trẻ có thể sờ thấy được do thành bụng ở độ tuổi này khá mỏng.

U phát hiện qua siêu âm hoặc kiểm tra sức khỏe định kỳ. Một số trường hợp chu kỳ kinh nguyệt không đều, dậy thì sớm, nam tính hóa (ria đậm, chân tay mọc nhiều lông), đau bụng âm ỉ hoặc từng cơn. Bệnh nhân có thể đi tiểu rắt, tiểu khó, phù hai chân.

Bác sĩ nhận định, khối u ở thiếu nữ này kích thước hiếm gặp, dễ tái phát nếu không xử lý triệt để. U không được phát hiện và điều trị sớm, các biến chứng nguy hiểm có thể xảy ra như xoắn u nang, vỡ u nang, xuất huyết, chèn ép các nội tạng xung quanh. Khi đó, phẫu thuật cắt bỏ u có thể làm giảm khả năng mang thai cho trẻ sau này.

Bác sĩ khuyến cáo phụ nữ nên đi khám phụ khoa tổng quát, siêu âm ổ bụng định kỳ để phát hiện sớm bất thường.

Thúy Quỳnh

Đọc tiếp cùng chuyên mục

Tự điều trị ung thư máu bằng đắp thuốc "giác hơi", nam thanh niên nguy kịch

Tự điều trị ung thư máu bằng đắp thuốc "giác hơi", nam thanh niên nguy kịch

Bệnh ung thư - 01/10/2024

  BSCK. I Nguyễn Văn Quân, Trung tâm Ung bướu và Y học hạt nhân (Bệnh viện Đa khoa tỉnh Lào Cai) cho biết vừa tiếp nhận bệnh nhân T.M.T (20 tuổi, ở...

Ung thư cổ tử cung có thể tầm soát sớm?

Ung thư cổ tử cung có thể tầm soát sớm?

Bệnh ung thư - 30/09/2024

  Hỏi: Tôi nghe thông tin tỷ lệ ung thư cổ tử cung hiện rất cao, vậy có thể tầm soát sớm ung thư cổ tử cung không, thưa bác sĩ? Nguyễn Hoài (Hà...

Phát hiện sớm tổn thương tiền ung thư nhờ thực hiện đều đặn việc này

Phát hiện sớm tổn thương tiền ung thư nhờ thực hiện đều đặn việc này

Bệnh ung thư - 09/08/2024

  Chia sẻ với bác sĩ, ông L.V.M (54 tuổi, Hà Nội) cho biết, trong gia đình có anh trai ruột, ông ngoại và dì ruột cùng bị K đại tràng. Còn bản thân...

Tiến bộ về kỹ thuật di truyền tạo bước tiến lớn trong điều trị ung thư

Tiến bộ về kỹ thuật di truyền tạo bước tiến lớn trong điều trị ung thư

Bệnh ung thư - 06/08/2024

Phó Giáo sư, Tiến sĩ Trần Đức Phấn, Chủ tịch hội Di truyền Y học Việt Nam chia sẻ về tiến bộ kỹ thuật di truyền.   Đại hội lần thứ 2 của Hội...

Lịch tiêm chủng Bộ Y tế Việt Nam