• Tiếng Việt
  • English
  • thứ ba, 10/03/2026, 00:36 (GMT+7)

Bệnh ung thư

3 dấu hiệu ở miệng giúp "tiên đoán" ung thư gan

3 dấu hiệu ở miệng giúp "tiên đoán" ung thư gan

Bệnh ung thư -  22/02/2021

Do gan không có các dây thần kinh đau nên khi bị tổn thương, bạn sẽ không có cảm giác này cũng không có dấu hiệu rõ ràng. Đến khi cảm thấy đau tức vùng gan, bệnh nhân gần như đã ở giai đoạn nặng. Vì v...

Phải cắt bỏ tử cung do dùng kim đâm khối u

Phải cắt bỏ tử cung do dùng kim đâm khối u

Bệnh ung thư -  20/02/2021

Thạc sĩ, bác sĩ Lê Thị Kiều Dung, Khoa Phụ sản Bệnh viện Đại học Y Dược TP HCM, cho biết khi vào viện bệnh nhân sốt cao, lạnh run, mạch nhanh, bụng ch...

Dấu hiệu hay gặp ở cả bệnh nhân Covid-19 và ung thư

Dấu hiệu hay gặp ở cả bệnh nhân Covid-19 và ung thư

Bệnh ung thư -  19/02/2021

Dịch vụ Y tế Quốc gia (NHS) và Y tế Công cộng Anh cho biết, gần một nửa số người được hỏi không biết ho dai dẳng hơn 3 tuần có thể là triệu chứng ung...

Ung thư tụy khó phát hiện sớm, dễ tử vong

Ung thư tụy khó phát hiện sớm, dễ tử vong

Bệnh ung thư -  18/02/2021

Bác sĩ Bùi Quang Lộc, Trung tâm Y học hạt nhân và Ung bướu, Bệnh viện Bạch Mai, cho biết tụy là một cơ quan nằm sau phúc mạc, trong ổ bụng, trước động...

Ung thư bàng quang - bệnh thường gặp ở đàn ông

Ung thư bàng quang - bệnh thường gặp ở đàn ông

Bệnh ung thư -  07/02/2021

Ung thư bàng quang là bệnh lý ác tính, thường gặp ở cơ quan tiết niệu sinh dục, bao gồm thận, niệu quản, bàng quang, tuyến tiền liệt, niệu đạo... Bàn...

Chuyến xe 0 đồng đưa bệnh nhân ung thư về quê ăn Tết

Chuyến xe 0 đồng đưa bệnh nhân ung thư về quê ăn Tết

Bệnh ung thư -  06/02/2021

Bệnh viện Ung bướu TP.HCM đã tổ chức chuyến xe 0 đồng cho các bệnh nhân mắc bệnh hiểm nghèo có hoàn cảnh khó khăn về quê sum vầy bên gia đình trong dị...

Ung thư vú phổ biến nhất thế giới

Ung thư vú phổ biến nhất thế giới

Bệnh ung thư -  04/02/2021

"Lần đầu tiên, ung thư vú trở thành bệnh ung thư được ghi nhận nhiều nhất trên thế giới", ông Andre Ilbawi, chuyên gia về ung thư của WHO cho biết nhâ...

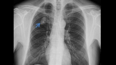
Người đàn ông phát hiện u phổi sau khi khám sức khỏe định kỳ

Người đàn ông phát hiện u phổi sau khi khám sức khỏe định kỳ

Bệnh ung thư -  01/02/2021

TS.BS Nguyễn Vũ Thiện, Khoa Giải phẫu bệnh, Bệnh viện Nhân dân 115 (TP.HCM) cho biết, bệnh viện vừa phẫu thuật cho nam bệnh nhân N.T.B (65 tuổi, ngụ...

Ung thư tinh hoàn di căn gan

Ung thư tinh hoàn di căn gan

Bệnh ung thư -  28/01/2021

Trước đó, bệnh nhân đã đi khám, được chẩn đoán viêm tinh hoàn trái, điều trị 3 đợt thuốc kháng sinh, ngày càng sưng to hơn. Ngày 27/1, anh đến khoa Na...

Lịch tiêm chủng Bộ Y tế Việt Nam