• Tiếng Việt
  • English
  • thứ ba, 10/03/2026, 02:10 (GMT+7)

Bệnh ung thư

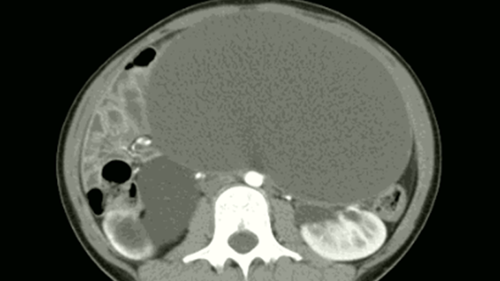
U nang trứng 7 lít trong bụng thiếu nữ 16 tuổi

U nang trứng 7 lít trong bụng thiếu nữ 16 tuổi

Bệnh ung thư -  27/01/2021

Các bác sĩ Bệnh viện Đa khoa Quảng Ninh ngày 26/1, cho biết kết quả siêu âm, chụp cắt lớp vi tính phát hiện khối u buồng trứng dạng nang chiếm toàn bộ ổ bụng dưới bệnh nhân. Khối u kích thước lớn, dài...

Sống cùng chồng hút thuốc, người phụ nữ mắc ung thư phổi

Sống cùng chồng hút thuốc, người phụ nữ mắc ung thư phổi

Bệnh ung thư -  25/01/2021

Mei Lai là quản trị viên của một công ty tư nhân tại Hong Kong. Chị chưa bao giờ hút thuốc và tự nhận mình là người có sức khoẻ tốt. Tuy nhiên cách đâ...

Phát hiện ung thư buồng trứng sau vài tháng căng tức bụng

Phát hiện ung thư buồng trứng sau vài tháng căng tức bụng

Bệnh ung thư -  25/01/2021

Bà từng mổ bóc nhân xơ tử cung năm 2014, từ đó đến nay không tái khám. Lần này, bụng ngày càng đau dữ dội, căng to, bà đến Bệnh viện Nguyễn Trãi khám....

Ung thư phổi dễ chết, khó phát hiện

Ung thư phổi dễ chết, khó phát hiện

Bệnh ung thư -  25/01/2021

Bác sĩ Nguyễn Đức Hạnh, Phó khoa Ung bướu, Bệnh viện Phổi Trung ương, cho biết trên thế giới, hiện nay ung thư phổi đứng đầu trong các bệnh ung thư th...

Ung thư gan dẫn đầu các bệnh ung thư ở Việt Nam

Ung thư gan dẫn đầu các bệnh ung thư ở Việt Nam

Bệnh ung thư -  23/01/2021

Số liệu được cơ quan Nghiên cứu Ung thư Quốc tế (IACR) ghi nhận trong báo cáo năm 2020 về ung thư toàn cầu. Báo cáo này cung cấp dữ liệu về ung thư ở...

Vì sao nhiều người Việt Nam ung thư?

Vì sao nhiều người Việt Nam ung thư?

Bệnh ung thư -  21/01/2021

Theo thống kê của GLOBOCAN năm 2020, số ca mắc và tử vong do ung thư trên toàn thế giới đều có xu hướng tăng, không riêng Việt Nam. Các nước phát triể...

Dấu hiệu của loại ung thư có nguy cơ tử vong cao nhất ở Việt Nam

Dấu hiệu của loại ung thư có nguy cơ tử vong cao nhất ở Việt Nam

Bệnh ung thư -  15/01/2021

Ở Việt Nam, gan và phổi là 2 loại ung thư tiên lượng xấu nhất. Với ung thư gan, năm 2020, Việt Nam có thêm 26.418 ca mắc mới, 25.272 ca tử vong. Tương...

Những tiến bộ trong điều trị ung thư máu

Những tiến bộ trong điều trị ung thư máu

Bệnh ung thư -  13/01/2021

Hàng nghìn nghiên cứu về bệnh bạch cầu, còn gọi là ung thư máu, được tiến hành, đem lại kết quả khả quan trong điều trị. Các biện pháp điều trị được b...

Năm 2020, Việt Nam tăng 7 bậc trên bản đồ ung thư thế giới

Năm 2020, Việt Nam tăng 7 bậc trên bản đồ ung thư thế giới

Bệnh ung thư -  12/01/2021

Cơ quan nghiên cứu ung thư quốc tế (IACR, thuộc WHO) vừa công bố số liệu về tình hình ung thư hiệu chỉnh theo độ tuổi của 185 quốc gia, vùng lãnh thổ...

Lịch tiêm chủng Bộ Y tế Việt Nam