Covid-19 gây hại não
Nghiên cứu được thực hiện bởi Đại học College London (UCL), công bố hôm 8/7 trên Tạp chí Brain. Đây là công trình mới nhất nghiên cứu khả năng biến chứng, bao gồm đột quỵ, tổn thương thần kinh, viêm não gây tử vong ở người mắc Covid-19, ngay cả khi họ không có bất cứ triệu chứng hô hấp nghiêm trọng nào.
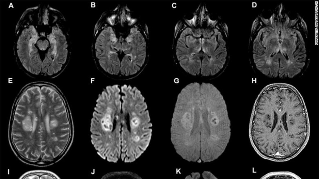
Các nhà khoa học đã kiểm tra 43 bệnh nhân, được điều trị tại Bệnh viện Đại học London trong tháng 4 và tháng 5, độ tuổi từ 16 đến 85. Triệu chứng của họ trải dài từ nhẹ, trung bình đến nặng.
Trong số các bệnh nhân, 10 người bị "rối loạn chức năng não tạm thời" và mê sảng. 12 trường hợp khác bị viêm não. 8 người đột quỵ và 8 người tổn thương thần kinh.
Hầu hết bệnh nhân viêm não được chẩn đoán mắc một bệnh lý cụ thể, hiếm gặp là viêm não tủy cấp lan tỏa (ADEM). Biểu hiện lâm sàng gồm hội chứng thần kinh, mất hoặc giảm thị lực, liệt nửa người hoặc liệt tứ chi.
Trước đại dịch, nhóm chuyên gia ở London ghi nhận khoảng một bệnh nhân ADEM mỗi tháng. Trong thời gian nghiên cứu, con số đã tăng lên thành một người một tuần.
Trong đó, một bệnh nhân nữ gặp ảo giác, thấy sư tử và khỉ trong nhà. Những người khác báo cáo tình trạng tê buồn chân tay hoặc mặt, song thị (nhìn thấy hai hình ảnh của một đối tượng) và mất phương hướng. Bệnh nhân nặng hầu như không có ý thức, chỉ phản ứng khi bị đau.
"Chúng ta nên cảnh giác và theo dõi các biến chứng này ở các bệnh nhân từng nhiễm nCoV, để xem liệu thế giới có ghi nhận số lượng lớn người bị tổn thương não sau đại dịch hay không", Tiến sĩ Michael Zandi, chuyên gia thần kinh, Bệnh viện Thần kinh và Phẫu thuật Thần kinh Quốc gia, nhận định.
Các nhà khoa học cho biết cần thực hiện thêm nhiều nghiên cứu để biết được hậu quả lâu dài của căn bệnh đối với não bộ. Họ vẫn đang cố gắng tìm hiểu chính xác vì sao bệnh nhân Covid-19 phát triển biến chứng thần kinh.
Thực tế, nCoV không được tìm thấy trong dịch não, tức là virus không tấn công trực tiếp vào cơ quan này. Giả thuyết cho rằng các biến chứng sinh ra gián tiếp bởi phản ứng miễn dịch của cơ thể, không phải từ chính mầm bệnh.
Phát hiện mới rất có ý nghĩa trong công tác theo dõi và điều trị Covid-19 trên khắp thế giới, song nó cũng đặt ra nhiều thách thức. Đối với các bệnh nhân không có biểu hiện hô hấp nghiêm trọng như khó thở, rất khó xác định sớm biến chứng, giúp ngăn ngừa hoặc giảm thiểu tác động xấu của nó. Trong khi đó, tình trạng sức khỏe không ổn định của người nhiễm nCoV nghiêm trọng sẽ hạn chế bác sĩ phân tích thêm về những ảnh hưởng của bệnh lên não bộ.
"Covid-19 chỉ mới xuất hiện vài tháng, chúng ta chưa thể biết được các tổn hại lâu dài nó có thể gây ra. Bác sĩ cần nhận thức được di chứng thần kinh, bởi chẩn đoán sớm đôi khi cải thiện được kết quả cuối cùng của bệnh nhân", Tiến sĩ Ross Paterson, tác giả đầu tiên của nghiên cứu, nói.
Thục Linh (Theo CNN)
Đọc tiếp cùng chuyên mục
Hai người nguy kịch vì sốt mò
Y tế 24h - 16/09/2025
Hai người nguy kịch vì sốt mò
Bệnh nhân ghép tim - phổi thành công đầu tiên tại Việt Nam xuất viện
Y tế 24h - 10/09/2025
Bệnh nhân ghép tim - phổi thành công đầu tiên tại Việt Nam xuất viện
Bé trai 15 tháng tuổi tổn thương phổi nặng vì uống phải tinh dầu đuổi muỗi
Y tế 24h - 07/08/2025
Bé trai 15 tháng tuổi tổn thương phổi nặng vì uống phải tinh dầu đuổi muỗi
Người đàn ông da vàng như nghệ, hôn mê vì lý do này
Y tế 24h - 10/02/2025
Người đàn ông da vàng như nghệ, hôn mê vì lý do này
Liệt nửa người sau mũi tiêm trị đau vai gáy ở phòng khám tư
Y tế 24h - 15/01/2025
Liệt nửa người sau mũi tiêm trị đau vai gáy ở phòng khám tư




