Bệnh nhân phi công được chỉ định ghép phổi
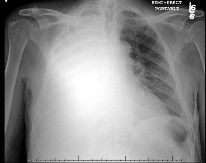
Tiến sĩ Nguyễn Văn Vĩnh Châu, Giám đốc Bệnh viện Bệnh Nhiệt đới TP HCM, cho biết kết quả CT scan sáng nay cho thấy phổi bệnh nhân này đã chuyển qua xơ hoá và mất chức năng hoạt động. Tình trạng này nghĩa là bệnh nhân sẽ chết nếu dứt ECMO (oxy hóa máu qua màng ngoài cơ thể).
Giờ cách duy nhất để cứu bệnh nhân là ghép phổi, ông cho biết.
Bộ Y tế giao cho Trung tâm Ghép tạng quốc gia, Bệnh viện Việt Đức làm các thủ tục để chuẩn bị tiến hành ghép tạng. Các chuyên gia y tế đầu ngành hội chẩn liên bệnh viện do Bộ Y tế, chủ trì chiều 12/5, chỉ định ghép phổi cho bệnh nhân.
Hội đồng chuyên môn đề nghị Bệnh viện Bệnh Nhiệt đới TP HCM chuẩn bị các phương án trước khi ghép, điều trị nhiễm trùng tích cực. Khi khẳng định "sạch" nCoV, bệnh nhân sẽ được chuyển sang Bệnh viện Chợ Rẫy để chuẩn bị ghép phổi.
Bệnh viện Bệnh Nhiệt đới TP HCM cho hay hiện nay bệnh nhân nằm yên, sử dụng thuốc an thần, mạch và huyết áp ổn định. Bệnh nhân duy trì thở máy qua mở nội khí quản ngày thứ 20, can thiệp ECMO ngày thứ 38, lọc máu, kháng nấm, bơm rửa màng phổi. Mẫu bệnh phẩm phết mũi họng cách đây hai ngày âm tính nCoV.
Đông đặc phổi là tình trạng một vùng của phổi, trước đây có thể xẹp được, thông khí bình thường, nay trở nên chứa đầy dịch. Nguyên nhân gây đông đặc có thể do viêm, phù phổi, xuất huyết phổi, ung thư phổi... Tùy từng trường hợp bác sĩ có thể lựa chọn điều trị khác nhau như kháng sinh, kháng nấm, steroid.
Đây là bệnh nhân Covid-19 nặng nhất hiện nay, diễn biến sức khỏe rất thất thường. Bệnh nhân xác định dương tính ngày 18/3, suy hô hấp tăng dần, diễn tiến ngày càng xấu dù còn trẻ và không bệnh nền. Phổi bệnh nhân đông đặc, mẫu bệnh phẩm nhiều lần âm tính rồi dương tính trở lại.
Bệnh nhân bị rối loạn đông máu, mắc hội chứng "cơn bão cytokine", tức hệ miễn dịch phản ứng thái quá giải phóng nhiều cytokine chống lại cơ thể thay vì bảo vệ. Bộ Y tế đã mua thuốc hiếm từ nước ngoài để điều trị rối loạn đông máu cho bệnh nhân.
Bệnh nhân là phi công hãng Vietnam Airlines, ngụ ở TP HCM và từng tới một số địa điểm ăn uống, giải trí, trong đó có Buddha Bar & Grill, ổ dịch lớn nhất thành phố.
Tin lên quan
Đọc tiếp cùng chuyên mục
Hai người nguy kịch vì sốt mò
                                            Y tế 24h - 16/09/2025
Hai người nguy kịch vì sốt mò
Bệnh nhân ghép tim - phổi thành công đầu tiên tại Việt Nam xuất viện
                                            Y tế 24h - 10/09/2025
Bệnh nhân ghép tim - phổi thành công đầu tiên tại Việt Nam xuất viện
Bé trai 15 tháng tuổi tổn thương phổi nặng vì uống phải tinh dầu đuổi muỗi
                                            Y tế 24h - 07/08/2025
Bé trai 15 tháng tuổi tổn thương phổi nặng vì uống phải tinh dầu đuổi muỗi
Người đàn ông da vàng như nghệ, hôn mê vì lý do này
                                            Y tế 24h - 10/02/2025
Người đàn ông da vàng như nghệ, hôn mê vì lý do này
Liệt nửa người sau mũi tiêm trị đau vai gáy ở phòng khám tư
                                            Y tế 24h - 15/01/2025
Liệt nửa người sau mũi tiêm trị đau vai gáy ở phòng khám tư




