Mũi tiêm giúp bệnh nhân ung thư khỏi đau đớn
Ung thư gan đã gây tổn thương lan rộng trong cơ thể người bệnh, gây đau nhiều. Bác sĩ Trịnh Tú Tâm, Trưởng đơn vị Điện quang Can thiệp và Điều trị đau, Bệnh viện Hữu Nghị, ngày 3/11 thực hiện kỹ thuật diệt hạch đám rối thân tạng bằng cồn tuyệt đối để giảm đau cho bệnh nhân.
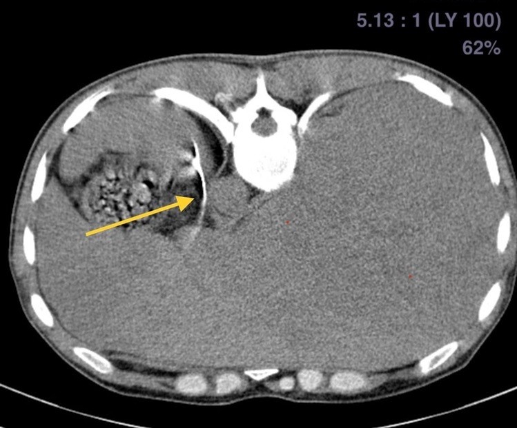
Đám rối thân tạng, còn gọi đám rối dương (Celiac Plexus), là một đám rối thần kinh lớn và quan trọng trong ổ bụng. Đây là trung tâm chuyển tiếp đau của các tạng tụy, dạ dày thực quản, gan, tuyến thượng thận... Cồn tuyệt đối là cồn tinh khiết, 100% alcohol.
Kỹ thuật diệt hạch bằng cồn tuyệt đối, bệnh nhân không cần gây mê, không mất máu. Dưới hướng dẫn của máy cắt lớp vi tính, bác sĩ đưa chiếc kim nhỏ vào tới vị trí hạch đám rối thân tạng, sau đó tiêm cồn tuyệt đối để diệt hạch. Thực hiện kỹ thuật cần có hướng dẫn của các phương tiện chẩn đoán hình ảnh như siêu âm, cắt lớp vi tính, màn tăng sáng. Đường kim chọc vào đám rối thân tạng phải chính xác tuyệt đối, tránh làm tổn thương các tạng trong ổ bụng hoặc mạch máu khi can thiệp.
Sau can thiệp, bệnh nhân hết đau, ngủ được, ăn uống trở lại.
Theo bác sĩ Tâm, diệt đám rối thần kinh thân tạng là phương pháp giảm đau nhân đạo cho bệnh nhân ung thư giai đoạn cuối khi mọi liệu pháp điều trị không còn hiệu quả, hoặc các phương pháp khác gây ảnh hưởng chức năng gan, bệnh nhân có nhiều tác dụng phụ của thuốc giảm đau. Đây là phương pháp can thiệp tối thiểu, hiệu quả cao.
Diệt đám rối thần kinh thân tạng giúp người ung thư gan, tụy, dạ dày, thận, đại tràng, 1/3 dưới thực quản hoặc người bệnh đau do viêm tụy mạn tính... thoát đau, trạng thái tinh thần khỏe khoắn. Kỹ thuật này chỉ thực hiện một lần để diệt đám rối thân tạng, trường hợp đau tái phát mà không kiểm soát được bằng thuốc thì có thể nhắc lại.
Theo nghiên cứu y khoa, đau là triệu chứng lâm sàng phổ biến ở bệnh nhân ung thư. Trong đó, 50% số bệnh nhân đau tại thời điểm chẩn đoán, 65-68% bệnh nhân đau trong giai đoạn tiến triển. Đến giai đoạn cuối tỷ lệ này có thể lên tới 90%. Nguyên nhân đau có thể do khối u, ung thư xâm lấn vào xương, thần kinh, phần mềm, tạng... Khối u lớn chèn ép vào các tạng, vị trí thần kinh, đau tăng dần, liên tục, dai dẳng.
Đau do ung thư hành hạ khiến người bệnh mất ngủ triền miên, tâm trạng lo âu, buồn bực, chán nản, suy giảm chất lượng cuộc sống, sinh hoạt, cơ thể suy kiệt và nguy cơ tử vong sớm. Người bệnh thường phải dùng morphine - thuốc giảm đau gây nghiện, về lâu dài phải tăng liều lượng, hiệu lực giảm đau của thuốc rút ngắn dần, người bệnh vẫn phải chịu đựng đau đớn tái phát.
Chi phí cho kỹ thuật diệt đám rối thân tạng bằng cồn tuyệt đối khoảng 1-2 triệu đồng một lần. Hiện kỹ thuật này chưa được bảo hiểm y tế thanh toán, bệnh nhân tự chi trả.
Đọc tiếp cùng chuyên mục
Tự điều trị ung thư máu bằng đắp thuốc "giác hơi", nam thanh niên nguy kịch
Bệnh ung thư - 01/10/2024
Tự điều trị ung thư máu bằng đắp thuốc "giác hơi", nam thanh niên nguy kịch
Ung thư cổ tử cung có thể tầm soát sớm?
Bệnh ung thư - 30/09/2024
Ung thư cổ tử cung có thể tầm soát sớm?
Phát hiện sớm tổn thương tiền ung thư nhờ thực hiện đều đặn việc này
Bệnh ung thư - 09/08/2024
Phát hiện sớm tổn thương tiền ung thư nhờ thực hiện đều đặn việc này
Tiến bộ về kỹ thuật di truyền tạo bước tiến lớn trong điều trị ung thư
Bệnh ung thư - 06/08/2024
Tiến bộ về kỹ thuật di truyền tạo bước tiến lớn trong điều trị ung thư
Mổ nội soi thành công ca bệnh ung thư trực tràng cho bệnh nhân lớn tuổi ở Đắk Lắk
Bệnh ung thư - 22/07/2024
Mổ nội soi thành công ca bệnh ung thư trực tràng cho bệnh nhân lớn tuổi ở Đắk Lắk




