Xẹp phổi bởi khối u trong lồng ngực
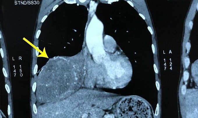
Bệnh nhân cho biết, cách đây khoảng 2 tháng, ông thấy đau nhói bên ngực phải mỗi lần nằm nghiêng và trở mình. Tình trạng đau tức ngày càng tăng gây mệt mỏi, ông đi khám và được chẩn đoán u phổi phải. Kết quả chụp cộng hưởng từ và cắt lớp vi tính cho thấy phổi phải có khối u kích thước 11x18 cm gây xẹp phổi.
"Nếu không phẫu thuật sớm, u phát triển lớn sẽ chèn ép gây đau đớn, tức ngực, khó thở và xẹp phổi phải, nếu chèn ép vào trung thất còn có thể ảnh hưởng đến nhịp tim", tiến sĩ Phan Lê Thắng, Phụ trách Đơn nguyên Ngoại Theo yêu cầu, Bệnh viện Ung bướu Hà Nội, cho biết ngày 21/8.
Bác sĩ Thắng cho biết đây là một ca phức tạp do kích thước khối u lớn, nhiều mạch nuôi, gây tăng sinh mạch máu, dính các tạng xung quanh khiến quá trình phẫu thuật gặp nhiều khó khăn trong việc cầm máu và lấy u ra. Các ca mổ lồng ngực có đặc thù đường mổ hẹp, chỉ có thể rạch một khoang nhỏ giữa khe hai xương sườn để đưa dụng cụ phẫu thuật vào cắt u và cầm máu. Do đó, phẫu thuật viên cần có kinh nghiệm và tay nghề chuyên môn cao để có thể thực hiện các thao tác một cách chính xác, tránh gây mất máu ồ ạt đe dọa đến tính mạng người bệnh.
Ca phẫu thuật đã diễn ra thuận lợi, bệnh nhân không cần truyền thêm máu. Sau 3 ngày phẫu thuật, bệnh nhân đã được rút ống dẫn lưu, hết đau tức ngực, có thể ăn uống và đi lại bình thường.
Kết quả giải phẫu bệnh cho thấy khối u là loại u xơ đơn độc màng phổi (Solitary Fibrous Tumors). U xơ đơn độc màng phổi là một dạng tổn thương ít gặp thường xuất phát từ lớp tế bào cận trung biểu mô, chiếm chưa đến 5% các khối u ở màng phổi. Khối u thường không gây triệu chứng lâm sàng trong giai đoạn sớm và chỉ phát hiện tình cờ khi chụp phim X-quang phổi định kỳ.
Khi khối u tăng kích thước gây chèn ép các cơ quan xung quanh, triệu chứng thường khiến bệnh nhân đến khám ở các cơ sở y tế thường là đau, nặng ngực, ho, khó thở, nuốt khó. Vì vậy, các bác sĩ khuyến cáo người dân cần khám sức khỏe định kỳ và tầm soát ung thư để kịp thời phát hiện và điều trị bệnh sớm.
Tin lên quan
Đọc tiếp cùng chuyên mục
Tự điều trị ung thư máu bằng đắp thuốc "giác hơi", nam thanh niên nguy kịch
Bệnh ung thư - 01/10/2024
Tự điều trị ung thư máu bằng đắp thuốc "giác hơi", nam thanh niên nguy kịch
Ung thư cổ tử cung có thể tầm soát sớm?
Bệnh ung thư - 30/09/2024
Ung thư cổ tử cung có thể tầm soát sớm?
Phát hiện sớm tổn thương tiền ung thư nhờ thực hiện đều đặn việc này
Bệnh ung thư - 09/08/2024
Phát hiện sớm tổn thương tiền ung thư nhờ thực hiện đều đặn việc này
Tiến bộ về kỹ thuật di truyền tạo bước tiến lớn trong điều trị ung thư
Bệnh ung thư - 06/08/2024
Tiến bộ về kỹ thuật di truyền tạo bước tiến lớn trong điều trị ung thư
Mổ nội soi thành công ca bệnh ung thư trực tràng cho bệnh nhân lớn tuổi ở Đắk Lắk
Bệnh ung thư - 22/07/2024
Mổ nội soi thành công ca bệnh ung thư trực tràng cho bệnh nhân lớn tuổi ở Đắk Lắk




