Cô gái đau đầu nhiều năm do có tổ sán trong não
Tạp chí Tropical Medicine and Hygiene (Mỹ) vừa đăng tải trường hợp nữ bệnh nhân 25 tuổi ở Úc bị sán dây làm tổ trong não.
Cô gái trẻ là nhân viên pha chế tại vùng ngoại ô Melbourne, chưa từng đi du lịch nước ngoài. Đây là trường hợp người Úc đầu tiên nhiễm loại sán này, trong khi các bệnh nhân trước đó đều là dân nhập cư hoặc có tiền sử du lịch tại châu Á, châu Phi hay Mỹ Latin.
Trước đó, nữ bệnh nhân đã có 7 năm mắc chứng đau nửa đầu liên miên, tần suất lặp lại 2-3 lần mỗi tháng. Tuy nhiên sau khi cô dùng thuốc, các triệu chứng dần biến mất. Nghĩ đau đầu thoáng qua nên cô chủ quan không đi khám.

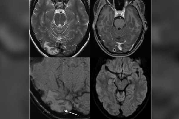
Hình ảnh nang sán làm tổ trong não khiến bác sĩ nhầm tưởng là khối u
Gần đây cô bị đau đầu dữ dội trong suốt hơn 1 tuần kèm giảm thị lực. Kết quả chụp MRI sọ não tại bệnh viện phát hiện có khối u trong não, bác sĩ nghi ngờ đây là căn nguyên gây ra các cơn đau đầu.
Tuy nhiên khi phẫu thuật lấy u, bác sĩ phát hiện bên trong chứa đầy nang sán dây lợn. Ấu trùng sán lợn khi xâm nhập vào hệ thần kinh có thể đau đầu, mù lòa, viêm màng não, mất trí nhớ, co giật, động kinh, thậm chí tử vong nếu không được phát hiện kịp thời.
Các nhà khoa học nghi ngờ, đặc thù công việc của cô gái trẻ tiếp xúc với khách từ nhiều quốc gia có thể đã khiến cô nhiễm sán.
Sán dây lợn có 2 vật chủ, trong đó lợn là vật chủ trung gian, con người là vật chủ chính. Khi người ăn thịt heo chưa chín có nhiễm sán, nang sán vào trong ruột non, bám vào thành ruột bằng giác bám và móc, và phát triển thân sán với nhiều đốt. Mỗi đốt có thể chứa tới 60.000 trứng sán rồi bài tiết theo phân ra ngoài.
Khi người bệnh ăn thịt lợn nhiễm sán hoặc thức ăn dính trứng sán, ấu trùng nở ra, vượt qua thành ruột đi vào máu và đến hầu hết các mô, nơi tạo thành nang sán.
Ấu trùng được tìm thấy phổ biến nhất trong hệ thống thần kinh trung ương, đặc biệt não (chiếm 60-90%), nhưng cũng có thể có trong hốc mắt, cơ, dưới da hoặc các mô khác.
Nếu một người nhiễm sán không vệ sinh tốt sẽ tiếp tục lây truyền sán qua đường phân - miệng cho người khác do bàn tay nhiễm bẩn hoặc các loại trái cây hoặc rau quả được tưới bởi phân người nhiễm bệnh.
Trường hợp nang sán làm tổ trong não, nếu to có thể phải can thiệp phẫu thuật, nếu bé có thể dùng thuốc diệt sán kết hợp thuốc chống co giật, động kinh, giảm phù nề.
M.Anh(Theo CNN)
Đọc tiếp cùng chuyên mục
Hai người nguy kịch vì sốt mò
Y tế 24h - 16/09/2025
Hai người nguy kịch vì sốt mò
Bệnh nhân ghép tim - phổi thành công đầu tiên tại Việt Nam xuất viện
Y tế 24h - 10/09/2025
Bệnh nhân ghép tim - phổi thành công đầu tiên tại Việt Nam xuất viện
Bé trai 15 tháng tuổi tổn thương phổi nặng vì uống phải tinh dầu đuổi muỗi
Y tế 24h - 07/08/2025
Bé trai 15 tháng tuổi tổn thương phổi nặng vì uống phải tinh dầu đuổi muỗi
Người đàn ông da vàng như nghệ, hôn mê vì lý do này
Y tế 24h - 10/02/2025
Người đàn ông da vàng như nghệ, hôn mê vì lý do này
Liệt nửa người sau mũi tiêm trị đau vai gáy ở phòng khám tư
Y tế 24h - 15/01/2025
Liệt nửa người sau mũi tiêm trị đau vai gáy ở phòng khám tư




