Suýt mất chân sau nhiều lần mổ nối xương
Bà Sang bị tai nạn giao thông cách đây bốn năm, gãy hai xương cẳng chân hai bên. Chân bên trái bị gãy hở mất đoạn xương chày. Các xử trí ban đầu giúp bà vượt qua nguy kịch nhưng chân trái vẫn đau nhức và ngắn hơn chân phải.
Những năm qua bà đi điều trị ở nhiều bệnh viện, trải qua 7 lần phẫu thuật nhưng không hiệu quả. Chân trái đau nhức, xương chày trái mất một đoạn, bà không đi lại được mà chỉ ngồi xe lăn, mọi sinh hoạt, kể cả vệ sinh cả nhân phải nhờ người khác hỗ trợ.
Nhiều bác sĩ khuyên đoạn chi tới 1/3 trên cẳng chân trái, gia đình không đồng ý.
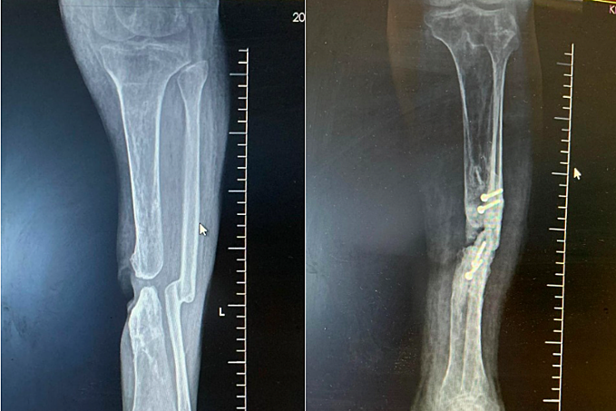
6 tháng trước, bà đến Bệnh viện Hoàn Mỹ Sài Gòn khám. Chẩn đoán hình ảnh cho thấy chân trái bị mất một đoạn xương chày khoảng 3 cm.
Bác sĩ Nguyễn Tấm Lãm, Trưởng Khoa Chấn thương Chỉnh hình, đánh giá ca khó vì người bệnh đã trải qua nhiều cuộc mổ, phần cơ và mô mềm hư hỏng nặng. "Phương pháp điều trị được cân nhắc chọn lựa là hàn ghép xương chày vào xương mác", bác sĩ Lãm cho biết.
Sau phẫu thuật, hình ảnh X-quang ghi nhận xương ghép lấp đầy khoảng chày mác và đoạn xương chày bị mất. Chân bệnh nhân dần hồi phục và hiện xương đã lành chắc.
"Sau mổ 6 tháng, tôi đã có thể tự đứng, đi và lao động trở lại gần như không hạn chế, không phải nhờ mọi người hỗ trợ nữa", bà Sang chia sẻ khi tái khám ngày 24/7.
Bác sĩ Lãm cho biết xương gãy trong thời gian đầu chỉ là một tổn thương cục bộ. Quá trình liền xương là một quá trình phức tạp liên quan đến nhiều yếu tố. Ổ xương gãy trên 6 tháng không liền sẽ tạo thành khớp giả làm người bệnh đau đớn và không đi lại được. Việc điều trị nhằm mục đích phục hồi hình thái giải phẫu của xương gãy được hoàn hảo, từ đó phục hồi chức năng, không để lại các di chứng.
"Sau gãy xương nếu nạn nhân không được chẩn đoán kịp thời và điều trị đúng phương pháp sẽ để lại các di chứng làm ảnh hưởng chức năng vận động, sinh hoạt, lao động, làm việc và học tập", bác sĩ Lãm phân tích.
Lê Phương
Đọc tiếp cùng chuyên mục
Hai người nguy kịch vì sốt mò
Y tế 24h - 16/09/2025
Hai người nguy kịch vì sốt mò
Bệnh nhân ghép tim - phổi thành công đầu tiên tại Việt Nam xuất viện
Y tế 24h - 10/09/2025
Bệnh nhân ghép tim - phổi thành công đầu tiên tại Việt Nam xuất viện
Bé trai 15 tháng tuổi tổn thương phổi nặng vì uống phải tinh dầu đuổi muỗi
Y tế 24h - 07/08/2025
Bé trai 15 tháng tuổi tổn thương phổi nặng vì uống phải tinh dầu đuổi muỗi
Người đàn ông da vàng như nghệ, hôn mê vì lý do này
Y tế 24h - 10/02/2025
Người đàn ông da vàng như nghệ, hôn mê vì lý do này
Liệt nửa người sau mũi tiêm trị đau vai gáy ở phòng khám tư
Y tế 24h - 15/01/2025
Liệt nửa người sau mũi tiêm trị đau vai gáy ở phòng khám tư




