Loại bỏ "u quái" có tóc, xương ở trung thất
Cách đây nửa năm, bà Thanh Hoa (54 tuổi, ngụ quận Bình Thạnh, TP Hồ Chí Minh) cảm nhận những cơn đau tức ngực nhẹ, tần suất khá thưa và không phải ngày nào cũng gặp nên không đi khám điều trị. Sau đó, mười đầu ngón tay của bà sưng lên nhưng một thời gian lại tự xẹp, tình trạng này lặp đi lặp lại nhiều lần nhưng bà không nghĩ là bệnh nên cũng bỏ qua.
Cho đến khi đi khám hậu Covid-19, kết quả chụp X-quang phổi phát hiện có khối u trung thất tồn tại đã lâu và được chỉ định phẫu thuật cắt bỏ. Tuy nhiên, do triệu chứng lúc đó không quá khó chịu nên bà xin uống thuốc mà không mổ.
Đến khi triệu chứng đau tức ngực ngày càng rõ rệt hơn, bà Hoa nhập viện điều trị tại Bệnh viện Đa khoa Tâm Anh TP Hồ Chí Minh.
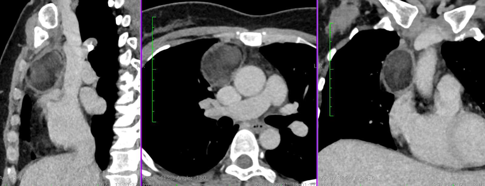
Là người trực tiếp thăm khám và điều trị cho bà Hoa, TS, BS Nguyễn Anh Dũng, Trưởng khoa Phẫu thuật Tim mạch-Lồng ngực, cho biết, khối u trung thất của bệnh nhân có cấu tạo rất lạ gồm cả lông, tóc, xương…, được gọi là “u quái”.
Khối u này tồn tại hàng chục năm nay, không gây ra triệu chứng rõ rệt. Bệnh nhân lại không có bệnh lý nền, ít khi đi thăm khám, làm xét nghiệm nên không phát hiện khối u.
Khối u có đường kính hơn 5cm, bắt đầu chèn ép các tĩnh mạch chủ trên và động mạch chủ chung quanh. Nếu khối u tiếp tục phát triển sẽ cản trở máu từ tĩnh mạch chủ trên đi xuống, gây ra triệu chứng phù (hội chứng tĩnh mạch chủ trên). Vì thế, cần phẫu thuật ngay thời điểm này để loại bỏ hoàn toàn khối u quái, tránh những rủi ro sức khỏe sau này.
Nhờ công tác chuẩn bị kỹ lưỡng, kinh nghiệm dày dặn của các phẫu thuật viên cộng với sự hỗ trợ của hệ thống trang thiết bị phẫu thuật nội soi hiện đại, ca phẫu thuật nội soi lồng ngực cắt bỏ khối u quái cho bà Hoa diễn ra thuận lợi sau hai giờ đồng hồ.
Bác sĩ Dũng cho biết, khó khăn lớn nhất trong ca mổ là khối u nằm gần tĩnh mạch chủ, động mạch chủ và khí quản. Nếu thao tác mổ không thuần thục, các đường bóc tách không chính xác thì sẽ làm tổn thương mạch máu, thậm chí ảnh hưởng đến đường thở, nguy hiểm tính mạng.
Đặc biệt, với kỹ thuật mổ nội soi, bác sĩ chỉ mở 4cm bên ngực phải bệnh nhân, đưa dụng cụ vào để lấy khối u ra khỏi lồng ngực. Do đó, người bệnh ít đau, ít mất máu, hồi phục nhanh sau mổ. Bệnh nhân được rút ống dẫn lưu màng phổi, ăn uống bình thường ngay hôm sau và xuất viện hai ngày sau đó.
Theo bác sĩ Dũng, khối u trung thất kích thước nhỏ thường không biểu hiện bất kỳ triệu chứng nào. Bệnh nhân thường tình cờ phát hiện trong quá trình chụp X-quang ngực khi bệnh nhân khám tổng quát hoặc kiểm tra cận lâm sàng để chẩn đoán một bệnh lý khác.
Do đó, khi người bệnh cảm nhận được các triệu chứng như ho, hụt hơi, đau ngực, sốt/ớn lạnh, đổ mồ hôi đêm, giảm cân không chủ đích, sưng hạch bạch huyết, tắc nghẽn đường hô hấp, khàn tiếng… là lúc khối u đã phát triển lớn, chèn ép các cơ quan chung quanh. Nếu không điều trị kịp thời, tình trạng sẽ diễn tiến nặng dần, gây suy hô hấp nặng dẫn đến tử vong.
Đọc tiếp cùng chuyên mục
Dấu hiệu nào nhận biết sa sút trí tuệ?
Tin tức & chuyên gia - 18/12/2024
Dấu hiệu nào nhận biết sa sút trí tuệ?
2 phút giành giật sự sống kỳ tích cho người nước ngoài bị ngừng tim ở quán ăn
Tin tức & chuyên gia - 28/03/2024
2 phút giành giật sự sống kỳ tích cho người nước ngoài bị ngừng tim ở quán ăn
Lâm Đồng: Tìm thấy thi thể cháu bé mất tích sau vụ lật thuyền trên hồ Đông
Tin tức & chuyên gia - 27/03/2024
Lâm Đồng: Tìm thấy thi thể cháu bé mất tích sau vụ lật thuyền trên hồ Đông
Tìm thấy thi thể nam thanh niên nhảy cầu Cổ Lũy tự vẫn
Tin tức & chuyên gia - 26/03/2024
Tìm thấy thi thể nam thanh niên nhảy cầu Cổ Lũy tự vẫn
Dịch tay chân miệng ở TP.HCM: Thiếu thuốc nhưng sẽ đảm bảo việc điều trị
Tin tức & chuyên gia - 09/06/2023
Dịch tay chân miệng ở TP.HCM: Thiếu thuốc nhưng sẽ đảm bảo việc điều trị




