Tràn khí màng phổi khi đang chơi thể thao
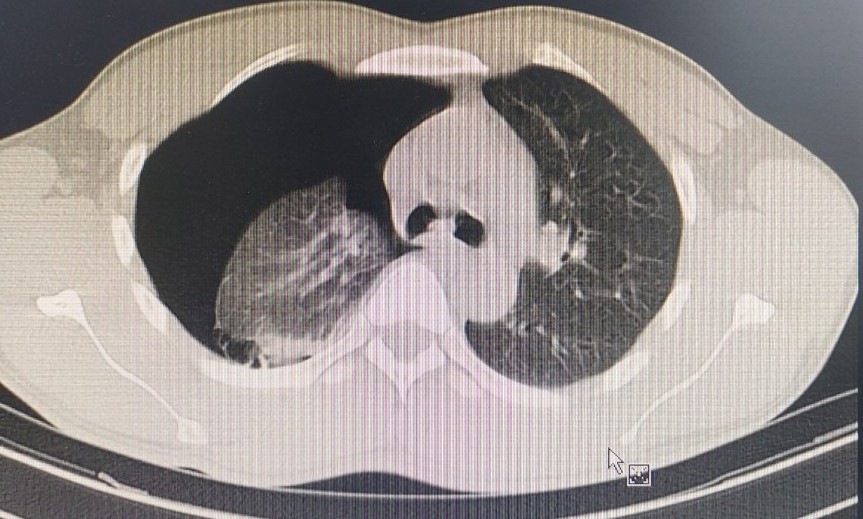
Kết quả chụp phim X-quang phổi bệnh nhân có dịch, có khí. Các bác sĩ chẩn đoán anh bị tràn khí màng phổi tự phát. Đây là bệnh thường gặp, có thể ảnh hưởng nghiêm trọng sức khỏe cũng như nguy hiểm tính mạng, nếu không xử lý đúng cách và can thiệp kịp thời.
Bệnh nhân được chỉ định phẫu thuật dẫn lưu màng phổi cấp cứu, mổ khâu kén khí và cầm máu, làm sạch khoang màng phổi. Bác sĩ áp dụng kỹ thuật phẫu thuật cắt kén khí qua nội soi, giảm đau sau mổ, đường mổ rất nhỏ nên tính thẩm mỹ cao.
Bác sĩ Phan Văn Thành, khoa Ngoại tổng hợp cho biết, tràn khí màng phổi tự phát nguyên phát thường gặp ở nam giới, trẻ tuổi (tỷ lệ là 3 nam/1 nữ). Bệnh có thể xuất hiện ở những người trước đó vốn khỏe mạnh.
Nguyên nhân dẫn đến bệnh thường do vỡ các bóng khí ở đỉnh phổi. Cơ chế hình thành các bóng khí có thể do bẩm sinh hoặc do viêm tiểu phế quản tận. Bệnh thường gặp ở người cao, gầy vì cơ địa này áp lực đỉnh phổi thấp hơn, dễ gây vỡ các bóng khí. Khoảng 30% trường hợp tràn khí màng phổi tự phát nguyên phát bị tái phát sau điều trị dẫn lưu màng phổi đơn thuần.
Tràn khí màng phổi có thể để lại biến chứng nguy hiểm, dễ tái phát. Vì vậy, người bệnh cần tuân thủ nguyên tắc điều trị, nếu có bất kỳ dấu hiệu nào bất thường như đau ngực, khó thở... cần đến cơ sở y tế để được thăm khám và can thiệp kịp thời.
Thùy An
Đọc tiếp cùng chuyên mục
Người đàn ông tử vong trong lúc tập gym ở Hải Dương
Tập luyện - 15/12/2023
Người đàn ông tử vong trong lúc tập gym ở Hải Dương
Những bệnh lý nguy hiểm người chơi thể thao cần biết
Tập luyện - 03/11/2023
Những bệnh lý nguy hiểm người chơi thể thao cần biết
Coi chừng thành tật vì bẻ khớp cổ trị đau vai gáy
Tập luyện - 24/10/2023
Coi chừng thành tật vì bẻ khớp cổ trị đau vai gáy
Thừa cân, béo phì có xu hướng trẻ hóa
Tập luyện - 14/10/2022
Thừa cân, béo phì có xu hướng trẻ hóa
Tại sao người già bị còng lưng?
Tập luyện - 23/06/2022
Tại sao người già bị còng lưng?




